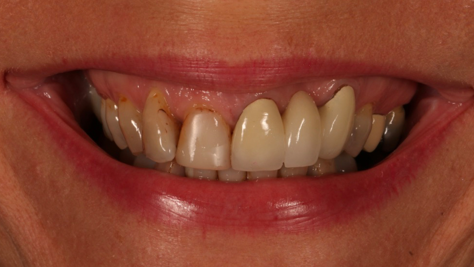
Dark Front Tooth

Before After

Dark Front Tooth

Before After

Dental Implants - Full Arch Implant

Before After

Dental Implants - Full Arch Implant

Before After

Dental Implants - Full Arch Implant

Before After

Dental Implants - Full Arch Implant

Before After

Dental Implants - Full Arch Implant

Before After

Dental Implants - Full Arch Implant

Before After

Dental Implants - Non Full Arch Implant

Before After

Dental Implants - Non Full Arch Implant

Before After

Dental Implants - Non Full Arch Implant

Before After

Dental Implants - Non Full Arch Implant

Before After

Invisalign / Whitening, & Bonding

Before After

Invisalign / Whitening, & Bonding

Before After

Invisalign / Whitening, & Bonding

Before After

Invisalign / Whitening, & Bonding

Before After

Invisalign / Whitening, & Bonding

Before After

Invisalign / Whitening, & Bonding

Before After

Invisalign / Whitening, & Bonding

Before After

Invisalign / Whitening, & Bonding

Before After

Invisalign / Whitening, & Bonding

Before After

Invisalign / Whitening, & Bonding

Before After

Invisalign / Whitening, & Bonding

Before After

Invisalign / Whitening, & Bonding

Before After

Invisalign / Whitening, & Bonding

Before After

Porcelain Smile Makeovers - Crowns

Before After

Porcelain Smile Makeovers - Crowns

Before After

Porcelain Smile Makeovers - Crowns

Before After

Porcelain Smile Makeovers - Veneers

Before After

Porcelain Smile Makeovers - Veneers

Before After

Whitening + Bonding

Before After

Whitening + Bonding

Before After

Whitening + Bonding

Before After